• +91-8448449837
  • dramitkapoor@yahoo.com

Dr. Amit Kapoor

M.B.B.S., L.T.M.M.C., G.H., D.N.B. (Neurosurgery)

M.B.B.S., L.T.M.M.C. & G.H.
(University of Mumbai., Mumbai, India)

Advanced Diploma in Hospital Administration.
(Institute of Health Care Administration, Chennai, Tamil Nadu, India)

Post graduate diploma in accident and emergency medicine (2001-2003).
(Sri Ramchandra Medical College and Research institute, Chennai, Tamil Nadu, India)

D.N.B. Neurosurgery (direct 5 - years course) (2003-2008)
Diplomat of National Board, New Delhi, India
Post graduate institute of Neurological surgery,
Dr. Achanta Lakshmipathi Neurosurgical center,
Voluntary Health Services, Chennai, India.

View More

Our Services

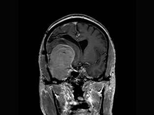
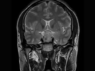
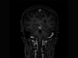
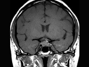
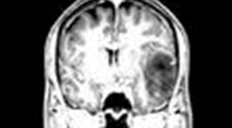
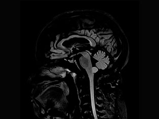
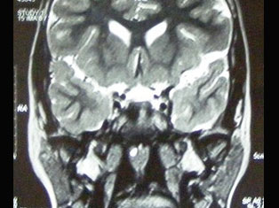
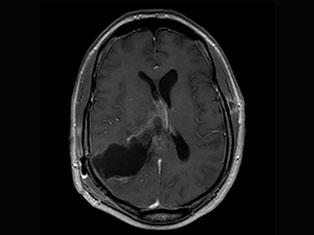
Brain Tumors

A brain tumor is a mass or growth of abnormal cells in your brain. Many different types of brain tumors exist. Some brain tumors are noncancerous (benign), and some brain tumors are cancerous (malignant).

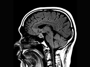
Cerebro Vascular

A stroke occurs when the blood supply to part of your brain is interrupted or reduced, preventing brain tissue from getting oxygen and nutrients. Brain cells begin to die in minutes. A stroke is a medical emergency.

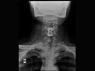
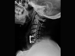
Degenerative Spine

The phrase "degenerative changes" in the spine refers to osteoarthritis of the spine. Osteoarthritis is the most common form of arthritis. Doctors may also refer to it as degenerative arthritis or degenerative joint disease.

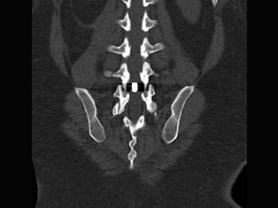
Spinal Tumors

A spinal tumor is a growth that develops within your spinal canal or within the bones of your spine. A spinal cord tumor, also called an intradural tumor, is a spinal tumor that that begins within the spinal cord or the covering.

Our Case

Testimonials