+91-8448449837
dramitkapoor@yahoo.com
Book Appointment
Menu
Home
About Us
Services
Brain Tumors
Cerebro Vascular
Pediatric Neurosurgery
Epilepsy
Functional Neurosurgery
Brain and Spine Trauma
Degenerative Spine
Spinal Tumors
Neuro Rehablitation
Academics
Publication
Award
Cases
Cases-II
Testimonials
Contact Us
Cases
Home /
Case-II
51. Scoliosis correction.
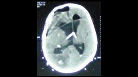
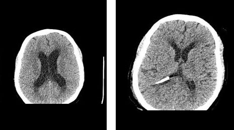
52. Subdural hematoma
53. Subependymal Gaint cell astrocytoma
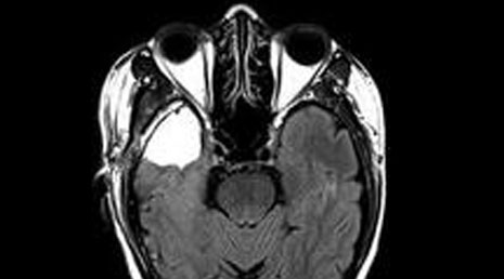
54. Sphenoidal wing meningioma
55. Spinal metastasis- adrenal
56. Spinal gunshots
57. Spinal sarcoidosis
58. Subependymoma
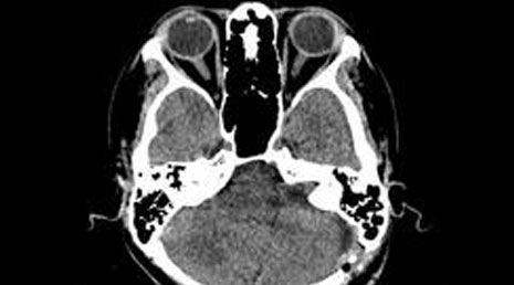
59. Temporal meningioma
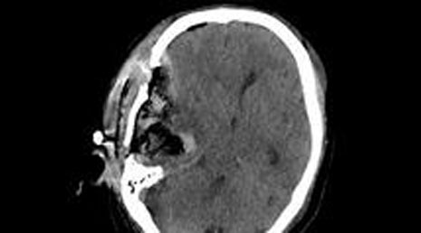
60. Temporal polar Glioblastoma
61. TLIF
62. Trans-nasal pitutary
63. Trans cranial pitutary
64. Verminan tuberculosis with hydrocephalus
65. Vestibular schwanomma
66.Tethered cord with split cord malformation